Unsere Leistungen
Wir bieten ein breites Spektrum an histologischen, immunhistologischen und zytologischen Untersuchungen mit Schwerpunkten in folgenden Bereichen:

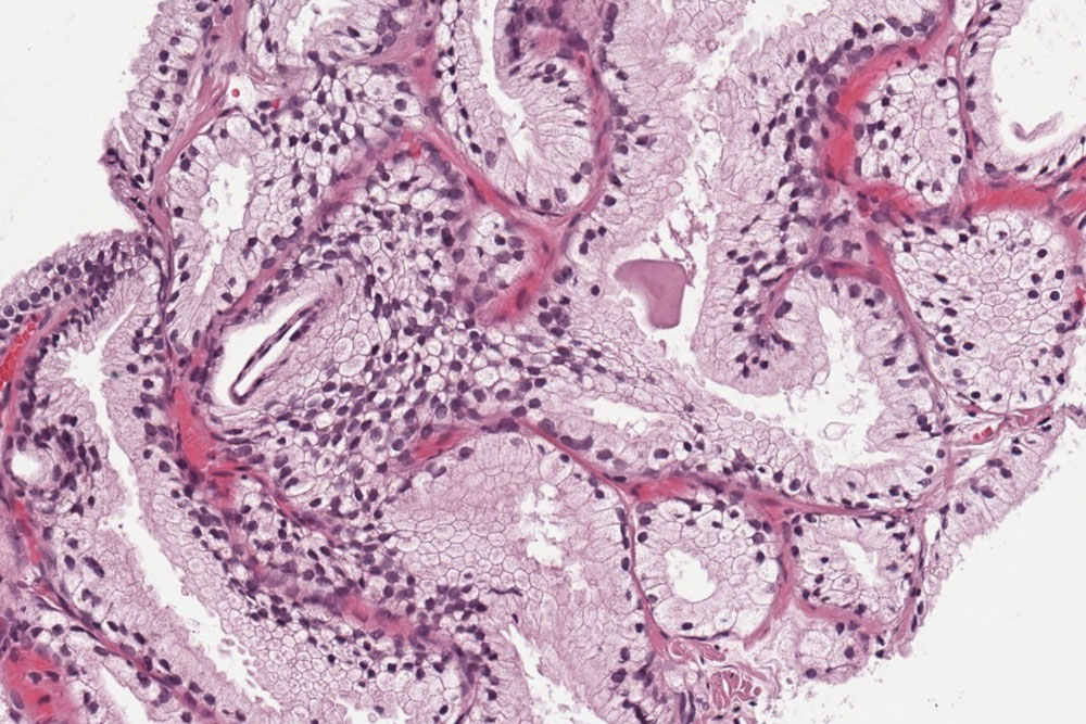
Gynäkopathologie
WEGWEISER IN DER FRAUENGESUNDHEIT
Diagnostik von Mammakarzinomen mit Hormonrezeptorbestimmung
Zuständige Pathologen im Mammographiescreening Brandenburg-West
Zervix-Dysplasieabklärung mit HPV-Diagnostik (p16)
Untersuchung von Zervix- und Korpusabradaten, inklusive Hormonrezeptorexpression

Kopf-Hals-Pathologie
MUNDGESUNDHEIT IM BLICK
Diagnostik von Läsionen und Tumoren der Mundschleimhaut, Zahnzysten
Veränderungen im HNO-Bereich

Gelenkpathologie
PRÄZISE DIAGNOSEN FÜR OPTIMALE THERAPIE
Synovialisbiopsien nach Synovialitis-Score
Klassifikation von Synovial- und periprothetischem Gewebe bei Gelenkprothesen
Untersuchung von Meniskopathien, Tendopathien und Diskopathien

Urogenitale Pathologie
PRÄZISION IN DER GENITALGESUNDHEIT
Prostatastanzbiopsien nach Vier-Augen-Prinzip
Harnblasenbiopsien zur Abklärung von Dysplasien und Tumoren
Hodenbiopsien für Tumor- und Fertilitätsdiagnostik

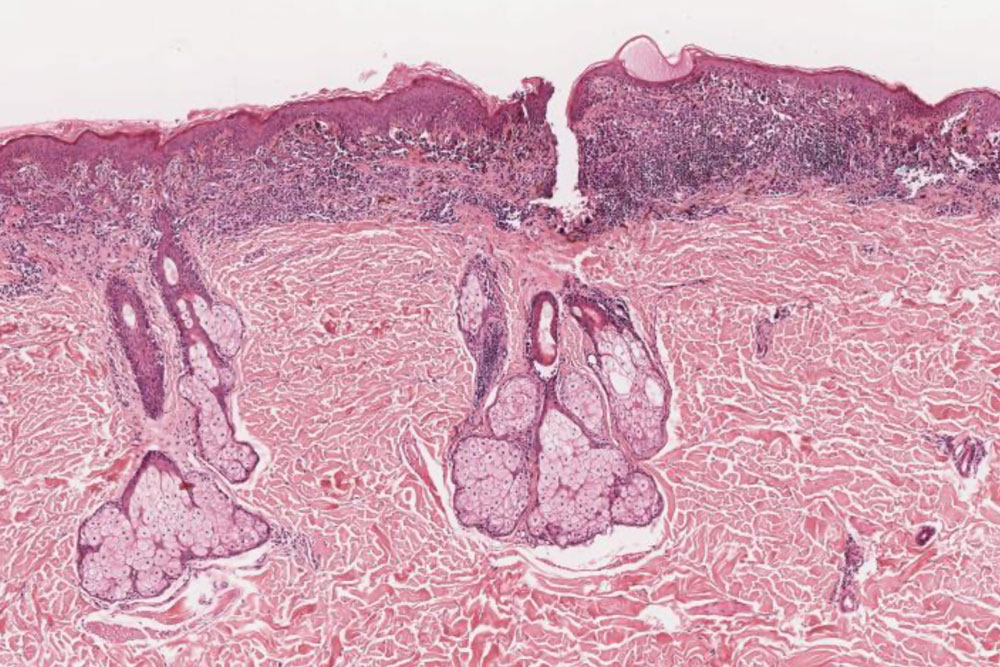
Dermatopathologie
HAUTVERÄNDERUNGEN IM FOKUS
Diagnostik von Hauttumoren inklusive Morphometrie
Melanomdiagnostik nach Leitlinien
Abklärung von entzündlichen Dermatosen und Vaskulitiden

Gastrointestinale Pathologie
DEN VERDAUUNGSTRAKT VERSTEHEN
Untersuchung der Magenschleimhaut nach Sydney-Klassifikation
Abklärung von Barrett-Mukosa und Dysplasien im ösophago-gastralen Übergang
Diagnostik von Sprue und Colitis an Stufenbioptaten

